사랑니를 발치하시려는 분들을 위해 치과 상담받은 후기를 알려드리겠습니다. 저는 아래에 2개, 위에 2개 이렇게 4개의 사랑니가 있습니다. 3개 쪽은 아프지 않은데 아래 부분 하나가 잇몸으로 쌓여있어서 그 안으로 이물질이 들어가 자꾸 염증을 유발하더라고요.
사랑니는 꼭 제거해야하나요??
사랑니 발치 순서
사랑니 발치는 일반적으로 다음과 같은 단계로 진행됩니다
- 의사 선생님이 사랑니가 자란 방향이나 상황을 육안으로 일차 점검합니다.
- 사랑니와 주변 신경과의 거리 파악을 위해 CT촬영을 진행합니다. (신경과 맞닿아 있는 경우 수술 불가)
- 발치 결정이 되면 국소 마취를 통해 통증을 차단합니다
- 잇몸 조직을 절개하여 사랑니와 주변 뼈를 노출시킵니다
- 필요한 경우 치아를 작은 조각으로 나누어 제거합니다
- 치아를 완전히 제거한 후 수술 부위를 세척합니다
- 필요한 경우 봉합을 통해 상처를 닫습니다
- 거즈를 물려 출혈을 멈추게 합니다

사랑니발치
사랑니 종류 3가지
사랑니 종류는 크게 3가지가 있습니다. Partial eruption은 치아의 일부분만 잇몸밖으로 노출되어 있는 형태를 말합니다.
1. 근심경사 (Angular)
사랑니가 앞쪽 치아 방향으로 기울어진 상태입니다. 가장 흔한 사랑니 매복 유형으로 제2대구치를 향해 각도를 이루고 있습니다.
2. 수평매복 (Horizontal)
사랑니가 완전히 수평으로 누워있는 상태로, 인접한 치아의 뿌리를 향해 자라납니다. 이 유형은 발치가 더 복잡하고 고난이도입니다.
3. 수직매복 (Vertical)
사랑니가 올바른 방향으로 자라지만 잇몸이나 뼈에 의해 완전히 나오지 못한 상태입니다. 상대적으로 발치가 쉬운 편입니다.

사랑니 발치 비용
사랑니 발치는 보험이 적용이 되는 부분입니다. 매복 정도나 의료기관의 종류에 따라 가격이 달라지긴 하는데 신경관 CT촬영도 보험이 가능하니 부담없이 발치하시면 될 것 같아요.
| 구분 | 비용 (평균 계산) |
| 단순 매복 | 2.5만원 |
| 복잡 매복 | 4만원 |
| 완전 매복 | 5만원 |
| 지혈제 (필요시) | 5천원 |
| 신경관 CT촬영비 | 5만원 |
* 매복 치료비는 치과의원급, 치과전문병원급, 종합병원, 상급종합병원의 금액을 평균해서 계산한 값이니 참고바랍니다.
저는 보험 적용해서 단순매복 사랑니 한개 뽑는데 CT 촬영비까지 합쳐서 3만원정도 든데요. 제가 간 병원은 동네 치과의원이고요.
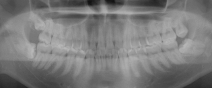
엑스레이 사진을 보시면 치아 아래 부분으로 신경이 지나가는데 이 신경이 발치하려는 치아랑 인접해 있으면 발치가 어렵대요. 저는 2D촬영 말고 3D 촬영으로 찍어야 정확한 신경과 치아의 거리를 알수 있어서 찍고 발치가 가능하다는 판정을 받았어요.

사랑니 발치 후 주의사항
1. 출혈관리
발치 후 24시간 동안은 거즈를 꽉 물고 있어야해요. 느슨하게 물고 있으면 지혈이 안되서 여러 질환에 노출될 수 있어요. 빨대는 사용을 금지하고 침이나 피는 뱉지말고 그냥 삼켜주세요! 24시간 이상 지혈이 안된다면 병원에 방문하세요.
2. 통증관리
발치를 하고 난 후 얼음찜질을 수시로 해주세요. 붓기가 가라앉아야 회복이 빠릅니다. 3일간 운동이나 사우나는 하지 마세요. 혈압 상승으로 지혈이 안되서 회복이 느릴 수 있습니다.
3. 식이관리
발치 후 최소 2시간 이후에 식사를 하시는데 뜨겁거나 자극적인 음식은 금지입니다. 부드럽고 간이 덜 된 음식을 섭취하세요.
4. 구강위생
흡연과 음주는 1주일 이상되면 하세요. 그 이전에 할 경우 염증 유발과 드라이소켓 발생확률이 높아집니다. 드라이소켓은 아래 질환부분에서 설명드릴게요.

사랑니 발치 후 생길 수 있는 질환
1. 드라이소켓(건성발치)
정상적으로 생겨야 할 피딱지가 떨어져 나가거나 형성되지 않는 경우에 발생합니다. 드라이소켓은 흡연, 빨대 사용, 심한 가글, 심한 양치질 등으로 발생이 되며 증상은 심한 통증과 구취입니다. 이럴 경우에 즉시 내원하여 소독하고 적절한 치료를 받아야 합니다.
2. 신경 손상
발치과정에서 신경이 손상되어 턱이나 입술이 저릴 수 있고 감각이 이상해집니다. 이런 경우는 드물지만 잘못되면 영구적인 손상이 될 수도 있습니다.
3. 부비동 천공
위쪽 사랑니 발치를 할 때 코 옆 공기주머니에 구멍이 생기는 경우입니다. 코쪽으로 공기나 액체가 통하는 느낌이 들고 자연적으로 치유가 가능하나 지속될 경우는 봉합 수술이 필요합니다.
4. 턱관절 통증
발치 중에 과도한 힘을 주었을 경우. 턱 통증으로 입을 벌리기 힘들 수 있습니다. 대부분 자연 치유가 이루어집니다.
CT촬영을 하고 발치가 가능하단 소견을 들었고 발치 예약을 해야하는데 아직 무서워서 못하고 있네요..
저는 아래쪽 사랑니 하나가 잇몸이 반쯤 덮고 있어서 그 사이로 이물질이 자꾸 끼더라고요. 촬영과 진단만으로 15,000원 정도 들었고 3일간의 염증 치료약을 처방받았습니다. 염증이 가라앉으면 예약잡아서 사랑니 발치 하려고요.
